Stomatologia zachowawcza Lublin, Świdnik
Ortident
Stomatologia zachowawcza Lublin, Świdnik
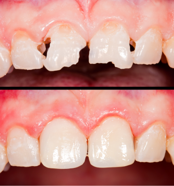
polega na leczeniu próchnicy w taki sposób, aby jak najdokładniej odtworzyć wygląd i funkcję zęba za pomocą plomb. Zabieg najczęściej wykonywany jest w znieczuleniu (nasiękowym, przewodowym lub śródwięzadłowym).
Cały proces polega na usunięciu przez lekarza dentystę chorych tkanek zęba (próchnicy) i założeniu w to miejsce wypełnienia. W naszych gabinetach Ortident w Lublinie i Świdniku używamy najwyższej jakości wypełnień, które w doskonały sposób imitują naturę. Szeroki wybór materiałów pozwala naszym lekarzom zastosować materiał o najlepszych właściwościach mechanicznych i estetycznych dla konkretnego pacjenta. W przypadku zębów z głęboką próchnicą stosujemy materiały remineralizujące, co umożliwia w wybranych sytuacjach uniknąć leczenia kanałowego.


Głównym i najbardziej powszechnym wrogiem naszego uśmiechu jest wspomniana próchnica. Ubytki próchnicowe prowadzą do osłabienia struktury zęba, co może powodować uszkodzenia mechaniczne (pęknięcia, złamania) lub zapalenia miazgi (co może skutkować leczeniem kanałowym).


Ortidenti
Stomatologia zachowawcza
polega na leczeniu próchnicy w taki sposób, aby jak najdokładniej odtworzyć wygląd i funkcję zęba za pomocą plomb. Zabieg najczęściej wykonywany jest w znieczuleniu (nasiękowym, przewodowym lub śródwięzadłowym).
Cały proces polega na usunięciu przez lekarza dentystę chorych tkanek zęba (próchnicy) i założeniu w to miejsce wypełnienia. W naszym gabinecie Ortident w Świdniku używamy najwyższej jakości wypełnień, które w doskonały sposób imitują naturę. Szeroki wybór materiałów pozwala naszym lekarzom zastosować materiał o najlepszych właściwościach mechanicznych i estetycznych dla konkretnego pacjenta. W przypadku zębów z głęboką próchnicą stosujemy materiały remineralizujące, co umożliwia w wybranych sytuacjach uniknąć leczenia kanałowego.


Dr. Betty Wible
Cosmetic Dentist

Próchnica – Twój największy wróg
Głównym i najbardziej powszechnym wrogiem naszego uśmiechu jest wspomniana próchnica. Ubytki próchnicowe prowadzą do osłabienia struktury zęba, co może powodować uszkodzenia mechaniczne (pęknięcia, złamania) lub zapalenia miazgi (co może skutkować leczeniem kanałowym).
What we do
Providing dental care for families in our community

Cosmetic Dentistry
Lorem ipsum dolor sit amet, consectetur

Pediatric Dentistry
Lorem ipsum dolor sit amet, consectetur

dental implants
Lorem ipsum dolor sit amet, consectetur

Teeth Whitening
Lorem ipsum dolor sit amet, consectetur
Ortident – profesjonalna stomatologia
Dlaczego warto nas wybrać
W trosce o Państwa zdrowy i piękny uśmiech oferujemy kompleksową, nowoczesną opiekę stomatologiczną dla dorosłych i dzieci.
Naszą wizytówką jest zespół wysoko wykwalifikowanych ekspertów z wieloletnim doświadczeniem i ogromną wiedzą zdobytą na licznych specjalistycznych kursach.
Profesjonalizm
Wieloletnie doświadczenie i wykwalifikowany personel.
Trwałe efekty
Z największą starannością analizujemy każdy przypadek, aby metamorfoza Twojego uśmiechu była trwała i satysfakcjonująca.
Kompleksowa usługa
Zadbamy od A do Z o stan zdrowia Twojej jamy ustnej.
Najnowszy sprzęt
Nasz gabinet wyposażony jest w najnowszy sprzęt.
Discount dental plans save you up to 60%
Lorem ipsum dolor sit amet, consectetur adipiscing elit. Ut elit tellus, luctus nec ullamcorper mattis, pulvinar dapibus leo.
